In his judgment about Alfie Evans rendered February 20, 2018, Justice Hayden of the UK’s Royal Courts of London writes:
Crucial to the decision I am being asked to make is the need to ascertain, as accurately as it can be, the present level of Alfie’s awareness. Accordingly, I considered that an up-to-date MRI scan was a significant component in the broad sweep of evidence that was likely to inform this assessment.
Nowadays, it may seem obvious that an MRI should inform someone about another person’s level of consciousness because it is widely assumed that if consciousness is present, it must somehow be present “in the brain.”
I don’t have time now to discuss in detail why that view is not quite correct (you can sign up for my Philosophy of Nature and Man course if you have the urge to know!), but I am reminded of 2 amusing items.
The first is the following passage by E.A. Burtt (1892-1989), who may rightly be considered the first philosopher of science. (In case you think I am sneaking in arguments from revealed faith, Burtt was a signer to the staunchly atheistic Humanist Manifesto II of 1973.)In his Metaphysical Foundations of Modern Physical Science (1924), Burtt chides Thomas Henry Huxley (“Darwin’s Bulldog”) for his views on sensation—views that remain widely shared to this day:
E.A. “Ned” Burtt
A pin pricks my finger and I feel, as I say pain in it. But Professor Huxley assures me that the pain cannot possibly be in the finger, and why? Because if the nerve fibres leading from the finger to the spinal cord are severed, I no longer feel the pinprick; therefore the sensation of pain must really be at the other end of those fibres, namely in the brain. This strikes one at first sight as a curious argument; it is as if one were to say that since the cutting of the Croton aqueduct will cause the passage of water through New York City to cease, therefore the reservoir which we had supposed to exist in the lower Catskills must really be in the city. Furthermore, it can hardly be maintained that the nerve fibers do end in the brain. Normally, in such a situation, there is a continued nerve passage out from the cord or the brain and down through the arm to a muscle which pulls the finger away from the pin. Therefore, according to this way of arguing, the sensation of pain must be in that muscle. But no one as yet has been willing to maintain this. Do these considerations not suggest that if thinkers were not already convinced that feelings must occur in the brain, they would never have supposed that the notion was supported by such arguments?
But Professor Huxley calls our attention to some further facts. Sever the arm entirely, and prick the attenuated end the same nerve fibre. Again the pain is felt in the same place, i.e., where the finger would have been. But nothing is there now but empty space, hence, triumphantly exclaims Professor Huxley, the pain certainly must be in the brain. But how in the world does that conclusion follow? Not to repeat the above remark, which would apply here also and
“Darwin’s bulldog,” via Wikimedia
require that the argument consistently applied would result in assigning the pain to some muscle of the arm, the facts are certainly widely sundered from the conclusion. It is obvious enough in this situation that the pain I feel and the pricking of the pin do not occur at the same place. But what has led us to fancy that we are resolving the problem by assigning the pain to some third place, namely the brain? I certainly do not feel it there. Other things happen there, as physiologists discover, but not the feeling. If we are to admit what is forced upon us by the simple facts, that the pain and the pricking are in different places, is it not by far the simplest and most consistent way out of the difficulty to hold that the pain is exactly where I feel it, even though to the eye nothing be there but emptiness? Surely no eye would have located it in the brain if he had not been antecedently convinced by some metaphysical prejudice that it must be there.
………………
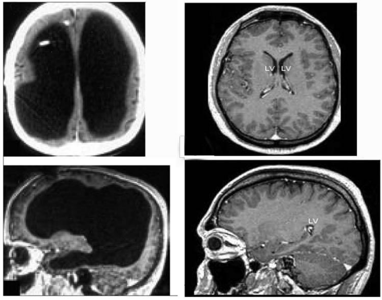
The second item was brought to my attention by Michael O’Flynn in his excellent TOF Spot blog. It concerns a report of a 44-year-old married man and father of 2, duly employed by the French postal service, who went to the hospital for evaluation of mild weakness. Because he gave a history of having hydrocephalus as an infant, which was treated with a drain that was removed at age 14, the hospital staff thought it would be prudent to obtain a CT scan to investigate this minor weakness.
Below, left, are the pictures of his brain scan, with a comparison normal brain scan on the right.
As you can probably tell even if you have no training in radiology, the man’s skull was almost empty of brain matter but instead filled with cerebral fluid, likely more severely so than Alfie’s skull as described in the court proceedings.
O’Flynn points out that there have been sufficient numbers of people with ridiculously small amounts of brain matter who are nevertheless “doing well” as to prompt a British neurologist to wonder out loud (in the pages of the journal Science, no less) “Is Your Brain Really Necessary?”
Despite the baffling evidence, obsession with the brain and with viewing it as the end-all-be-all of existence remains strong.
In his April 4, 2018 judgment, Justice Hayden wrote: “I came to the conclusion that Alfie’s brain had been so corroded by neuro-degenerative disease that his life was futile.”
Since the value of Charlie Gard’s and Alfie Evans’ lives were considered primarily in relation to what their brain scans showed and what people imagine “suffering” from brain dysfunction to be, the two items above are worth keeping in mind.
Postscript: To ask, as I did in the title, whether awareness “resides” in the brain is surely ambiguous. Awareness cannot be said to reside in anything properly-speaking. Nor do I suggest that the brain is unimportant or unnecessary for sense awareness, to be clear.
2 Comments
Great to see you back online! As you know, I’ve been pushing PMS Hacker’s perspective from Philosophical Foundations of Neuroscience that brains have no awareness; *people* have awareness. People require (to more or less extent–those are pretty striking MR images above) functioning brains in order to maintain awareness.
Hi Justin, and a double thank you for this and for alerting me to Hacker. I actually assigned a passage from the “Philosophy and Neuroscience” book (I believe that’s the title) which offers excerpts from Hacker’s book, as well as responses to those by Dennett and Searle, as reading material for my Philosophical Anthropology course.
Hacker is not Aristotelian (I don’t think) but obviously sympathetic to that tradition. I’m not familiar enough with Wittgenstein to understand exactly where Hacker is coming from (and I haven’t read the original tome by Hacker and Bennett either), except that there is a great deal of focus on language, which an Aristotelian-Thomist would not reject, so long as language is seen as relating to some objective reality.
Great to see you back online! As you know, I’ve been pushing PMS Hacker’s perspective from Philosophical Foundations of Neuroscience that brains have no awareness; *people* have awareness. People require (to more or less extent–those are pretty striking MR images above) functioning brains in order to maintain awareness.
Hi Justin, and a double thank you for this and for alerting me to Hacker. I actually assigned a passage from the “Philosophy and Neuroscience” book (I believe that’s the title) which offers excerpts from Hacker’s book, as well as responses to those by Dennett and Searle, as reading material for my Philosophical Anthropology course.
Hacker is not Aristotelian (I don’t think) but obviously sympathetic to that tradition. I’m not familiar enough with Wittgenstein to understand exactly where Hacker is coming from (and I haven’t read the original tome by Hacker and Bennett either), except that there is a great deal of focus on language, which an Aristotelian-Thomist would not reject, so long as language is seen as relating to some objective reality.